HS-2700
.png)
HS-2700 PROMOTION VIDEO
Overview
Doppler ultrasound system made in Japan
12.1 inch high resolution LCD.
Simple and easy-to-use keyboard design.
Sharp and smooth image display by H-res.
Large casters make it easy to move.
Ultrasound Image

H-res (Our Resolution Technology)
Featuring advanced image processing technology, the system delivers optimal settings for any observation purpose with effortless operation. Select the presets for both deep and superficial imaging with ease.
202579_4.png)
Kidney
202579_5.png)
Stone in Kidney
Doppler mode
The HS-2700 has three types of Doppler functions: CFM (Color Flow Mapping), PD (Power Doppler), and PW (Pulse Wave Doppler). PW mode includes Doppler sounds.
202579_7.png)
CFM (Color Flow Mapping)
Probe: HLS-575M
202579_8.png)
PD (Power Doppler)
Probe: HCS-436MSC
202579_9.png)
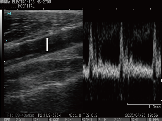
PW (Pulse Wave Doppler)
Probe: HLS-575M
Preset Registration
Favorite settings can be easily registered and recalled.

Body marks
A wide variety of body marks are provided, enabling easy identification and storage of diagnostic sites.
*Image is one example.
Data Storage
Data storage by USB memory stick
Both still and moving images can be saved to an external USB memory device and viewed on a PC.
Up to approximately 100 images can be stored in the main memory.
Catalog

Free Download
You can download our product catalog in PDF format fhere.
We hope you will find it useful.
*Specifications and appearance in this catalog are subject to change without notice.
Specifications
Scanning method | Convex / Linear Electronic Scan |
Number of Probe Channel | 96 Channels,128 Channels |
Number of Simultaneous Drive |
Transmitter 64 Channels (Max) Receiver : 32 Channels (Max) |
Display Mode | B Mode, B/B Mode, B/M Mode, B/Z Mode, M Mode |
Range 3.5MHz 5MHz or more |
0-2-24cm (1cm Step Adjustable) |
Focusing Methodr | 4-stage Transmission Focus Continuous Dynamic Receiving Focus |
Rated Ultrasound Frequency | 2.8, 3.5, 5.0, 7.5, 9.0, 10.0, MHz |
Display Monitor | 12.1inch color LCD |
Acoustic Power Adjustment | 20-100% (10% Step Adjustable) |
Gray Scale | 256 Levels |
Image Display | Up/Down, Left/Right |
Doppler |
CFM(Color Flow Mapping), PD(Power Doppler) , PW(Pulse Wave Doppler) |
Image Adjustment | B-Gain: 36-100dB (1dB Step Adjustable) M-Gain: 36-100dB (1dB Step Adjustable) B-Dynamic Range: 35-95dB (1dB Step Adjustable) M-Dynamic Range: 35-95dB (1dB Step Adjustable) Doppler-Gain: 15-100 (5 Step Adjustable) Doppler-Speed Range: 1/2, 1, 2, 4, 8, 16 STC: 8 segments correction 5 type H-res: OFF, Detail1, Detail2, Detail3, Mild, Resolution, (Image Enhancement) Penetration, Clarity, Boundary, Anatomy |
Sweep Speed in M Mode |
1/1, 1/2, 1/4, 1/8, 1/16(*) *B/M-Mode: (1/1) is 1 second per frame. *M-Mode : (1/1) is 2 seconds per frame. |
Measuring Function | Distance : 8 Measurements (Max) Area/Circumference : 4 Measurements (Max) Volume : 1 Measurements |
Diagnosis/ Graph Display |
BPD、CRL、FL、CCD、HC、OFD、THT、GS、AC、FTA、GSV、AFI、 and others |
Estimating Weight | Hansmann Method, Hadlock Method, Tokyo Univ. Method, Osaka Univ. Method, and others |
Data Storage | Still Image (JPEG): Internal (200 Images max.) / External USB memory ditto (DICOM) : Internal (200 Images max.) / External USB memory Moving Image (AVI) : Internal (10 videos max.) / External USB memory |
Character Display |
Hospital Name (40 Characters), |
Power Source |
AC Adapter: AC100-240V,50Hz/60Hz 15VDC,100VA |
Dimension |
500mm(Width)× 480mm(Depth))× 1200mm(Height) |
Net Weight |
Net Weight: Approx. 20kg (Excluding probe) |
Probes |
Convex probe 5.0/3.5/2.8MHz 60R HCS-436M 5.0/3.5/2.8MHz 60R HCS-436MSC Linear Probe 10.0/7.5/5.0MHz 50mm HLS-575M Transvaginal Probe 10.0/7/5/5.0MHz HCS-4710MV |
Accessories |
AC Adaptor, Power Cable, Ultrasound Gel |
Probes
Convex probe

Type name | HCS-436M |
Frequency | 5.0/3.5/2.8MHz |
Radius (sensor part) | 60R |
Cable length | 2m |

Type name |
HCS-436MSC *Single crystal probe |
Frequency | 5.0/3.5/2.8MHz |
Radius (sensor part) | 60R |
Cable length | 2m |
Micro Convex Probe
Linear Probe

Type name | HLS-575M |
Frequency | 10.0/7.5/5.0MHz |
Width (sensor section) | 50mm |
Cable length | 2.2m |
Linear Probe
Transvaginal probe

Type name | HCS-4710MV |
Frequency | 9.0/7.5/5.0MHz |
Radius (sensor part) | 10R |
Cable length | 2m |